114年:放射診斷(1)
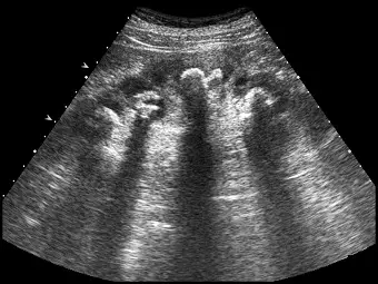
腎臟超音波掃描,發現多處的腎盞(calyxes)呈現高回音性病灶併有後方回音陰影(posterior acoustic shadows)如下圖,最有可能的診斷為何? 
A鹿角結石 (staghorn stone)
B腎臟血管肌肉脂肪瘤(renal angiomyolipoma)
C單純性腎囊腫(simple renal cyst)
D腎細胞癌(renal cell carcinoma)
詳細解析
本題觀念:
本題測驗的是腎臟常見病灶在超音波(Ultrasound)下的影像特徵,特別是評估考生對於不同腎臟病變(如:結石、良性腫瘤、囊腫、惡性腫瘤)的「回音強度(echogenicity)」及「後方聲波假影(acoustic artifacts)」的鑑別診斷能力。
影像分析:
題目所附的腎臟超音波影像中,可以清楚觀察到以下關鍵特徵:
- 高回音性病灶(Hyperechoic lesions):在腎臟內部的集尿系統(腎盂與多處腎盞)區域,可見呈現強烈白色(高回音)的結構分佈。
- 後方回音陰影(Posterior acoustic shadows):這些高回音病灶的後方,出現了明顯的黑色無回音帶(聲影,acoustic shadowing)。這是因為超音波被堅硬組織(如鈣化或結石)強烈反射與吸收,聲波無法穿透所致。
- 分佈形狀:病灶沿著腎臟集尿系統(腎盂並延伸至多個 calyxes)分佈,呈現分支狀(鹿角狀)的外觀。 綜合以上特徵,此為典型的「鹿角結石(Staghorn calculus)」超音波表徵。
選項分析:
- (A) 鹿角結石(staghorn stone):正確。結石在超音波下的典型表現為強高回音(hyperechoic)病灶,並伴隨明顯的後方回音陰影(posterior acoustic shadow
...(解析預覽)...

升級 VIP 解鎖圖文解析