114年:放射診斷(1)
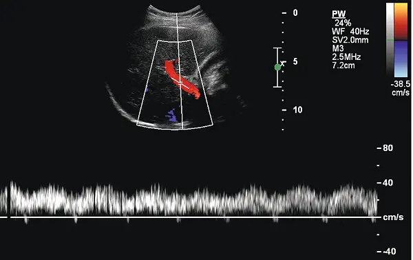
下圖為彩色都卜勒超音波影像,主要是量測那一條血管? 
Aaorta
Bcommon hepatc artery(CHA)
Cright hepatic vein(RHV)
Dmain portal vein(MPV)
詳細解析
本題觀念:
本題測驗腹部超音波中不同血管的「都卜勒血流頻譜(Doppler spectral waveform)」與「彩色都卜勒(Color Doppler)」特徵。醫事放射師在執行腹部超音波時,必須熟悉各條主要血管的血流方向、流速以及波形特徵,以正確辨識血管並評估其生理或病理狀態。
影像分析:
- 上半部影像(B-mode 與 Color Doppler):
- 顯示出肝臟實質構造,在彩色都卜勒的取樣框(Color box)中,可見一條相對粗大的血管,呈現紅色血流。
- 在預設的彩色對應圖中,紅色代表血流方向朝向探頭。在經由右側肋間或右側肋骨下掃描肝臟時,朝向肝臟內部的血流(向肝性血流,Hepatopetal flow)會朝向探頭,因此呈現紅色。
- 下半部影像(PW Doppler 脈衝波都卜勒):
- 頻譜顯示血流皆位於基線(Baseline, 0 cm/s)之上,證實為朝向探頭的正頻移。
- 波形呈現連續性(Continuous)、相對平緩的單相波(Monophasic waveform),僅受到呼吸或心跳影響而有輕微的起伏(gently undulating)。
- 觀察右側的流速標尺(Scale),血流速度大約落在 15~30 cm/s 之間,屬於中低流速的靜脈血流特徵。
...(解析預覽)...

升級 VIP 解鎖圖文解析