114年:放射診斷(1)
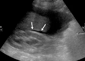
附圖中,箭號所指為何? 
Asplenic fossa
Bgall bladder fossa
CMorison's pouch
DDouglas pouch
詳細解析
本題觀念:
本題測驗腹部超音波的基礎解剖構造與影像判讀能力。在進行腹部超音波(特別是 FAST scan,重點式創傷超音波)時,辨識腹腔內的潛在空間 (potential spaces) 對於尋找游離積液(如 ascites 或 hemoperitoneum)是放射師與臨床醫師必須掌握的核心技能。
影像分析:
這是一張右上腹 (Right Upper Quadrant, RUQ) 的灰階超音波影像,主要呈現以下特徵:
- Liver (肝臟): 影像左側與上方佔據大部分視野、呈現均勻中等回音 (medium echogenicity) 的實質器官為肝臟右葉。
- Right kidney (右腎): 位於肝臟的後下方(影像的下半部),呈現橢圓形結構,外層皮質回音較低,內部的腎竇 (renal sinus) 則呈現明顯的強回音 (hyperechoic)。
- 箭頭所指處: 兩個白色箭頭明確指向肝臟下緣與右腎上極之間的高回音交界面,此處即為解剖學上的潛在空間。
- 周邊發現: 影像右側可見大片無回音 (anechoic) 的黑色區域,代表有游離積液 (free fluid) 累積在肝臟下緣周邊,並延伸進入前述的潛在空間中。
選項分析
- (A) splenic fossa: 錯誤。splenic fossa
...(解析預覽)...

升級 VIP 解鎖圖文解析