113年:放射器材(1)
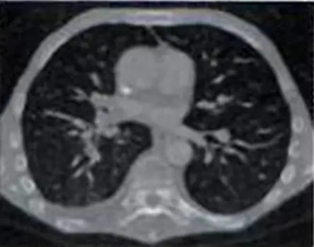
如圖所設定的window width與window level分別可能為多少? 
A2500,1000
B400,-50
C1700,-600
D200,20
詳細解析
本題觀念:
在電腦斷層(CT)影像中,窗寬(Window Width, WW) 與 窗位(Window Level, WL) 決定了影像的灰階對比度。CT值(Hounsfield Unit, HU)反映了組織的密度,而螢幕只能顯示256個灰階。因此,我們必須透過調整WW與WL,將特定的HU範圍映射到黑白灰階上。
- 灰階上限(純白) = 。CT值高於此上限的組織將全白、失去細節(過曝)。
- 灰階下限(純黑) = 。CT值低於此下限的組織將全黑。
常見組織的CT值:空氣約 -1000 HU,肺臟約 -700 HU,水/脂肪約 0 至 -50 HU,軟組織/血液約 40 HU,骨骼約 1000 HU(骨皮質可達 2000 HU 以上)。
影像分析:
觀察題目提供的胸部軸狀切面(Axial CT)影像,我們可發現以下幾個關鍵特徵:
- 肺野(Lung fields):肺部背景呈現純黑色,並無法觀察到呈現灰色的肺實質(parenchyma)細節,只能看見呈現深灰色的肺血管分支。
- 軟組織(Soft tissues):心臟與胸壁肌肉的影像亮度偏暗,呈現深灰色。
- **
...(解析預覽)...

升級 VIP 解鎖圖文解析