112年:放射器材(2)
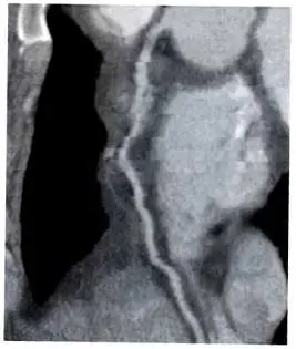
在使用 CT 掃描冠狀動脈時,要避免如圖假影的產生,下列何種方法最不適合? 
A使用 ECG-gating 調控
B改用 electron-beam CT
C讓轉速達到 1 秒/圈
D調降病患心跳速率
詳細解析
本題觀念:
心臟血管電腦斷層掃描(Coronary CT Angiography, CCTA)中最主要的挑戰在於克服心臟跳動所產生的假影。為了獲得清晰的冠狀動脈影像,必須提高系統的時間解析度(Temporal resolution),並盡可能在心臟跳動最緩慢的週期(通常為舒張中晚期)進行影像擷取。時間解析度越高,越能「凍結」心臟的瞬間動作,從而減少假影。
影像分析:
圖中顯示的是冠狀動脈(根據解剖位置與垂直走向,推測為右冠狀動脈,Right Coronary Artery, RCA)的電腦斷層曲面重建(Curved Planar Reformation, CPR)影像。在血管走向上可以明顯觀察到血管輪廓出現不連續、錯位與模糊的現象,這呈現了典型的階梯狀假影(Stair-step artifact)或移動假影(Motion artifact)。這類假影主要是由於心臟在掃描過程中的快速搏動,導致在不同心跳週期或不同切面掃描時血管處於不同的空間位置,使得後處理重建時無法完美接合所造成。
選項分析:
- (A) 使用 ECG-gating 調控:適合。利用心電圖門控技術(ECG-gating),系統可以預測或回溯並選擇在心臟跳動最平穩的舒張期或收縮末期進行影像擷取與重建,是目前避免心臟移動假影的標準且必備的技術。
- **(B)
...(解析預覽)...

升級 VIP 解鎖圖文解析