112年:放射診斷(2)
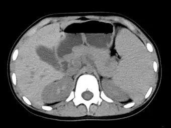
患有遺傳性球形紅血球增多症( hereditary spherocytosis )之女童,因貧血長期接受輸血治療。未施打顯影劑的腹部電腦斷層顯示肝脾腫大(如下圖所示),經測量其肝臟密度約為 75 HU ,顯示肝臟內可能堆積下列何種成分? 
A鐵
B鈣
C碘
D脂肪
詳細解析
本題觀念:
本題探討「遺傳性球形紅血球增多症 (Hereditary spherocytosis)」患者因長期輸血所引發的併發症,以及該併發症在未施打顯影劑之腹部電腦斷層(Non-contrast abdominal CT)上的典型影像學特徵。核心觀念為輸血性鐵質沉積症 (Transfusional hemosiderosis) 或次發性血色素沉積症 (Secondary hemochromatosis) 所導致的肝臟密度改變。
影像分析:
- 檢查造影:無對比劑(未施打顯影劑)腹部電腦斷層(Unenhanced abdominal CT)。
- 肝臟發現:影像中肝臟實質(Liver parenchyma)呈現均勻的高密度 (Hyperdense)。正常未施打顯影劑的肝臟密度約落在 40~65 HU,而本題測量出肝臟密度達 75 HU。因為肝臟實質密度異常升高,使得肝內未強化的血管(如肝靜脈、門靜脈)在明亮的肝臟背景下,呈現出非常明顯的相對低密度(暗色)分支管狀結構,此為典型的「白肝 (White liver)」表徵。
- 脾臟發現:影像顯示嚴重的脾臟腫大(Splenomegaly),脾臟體積龐大並向內下方延伸。這與患者本身患有遺傳性球形紅血球增多症(異常紅血球在脾臟被大量破壞引起慢性血管外溶血)的臨床病史完全吻合。
...(解析預覽)...

升級 VIP 解鎖圖文解析