112年:放射診斷(2)
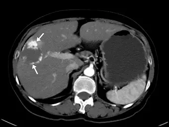
肝血管瘤( hepatic hemangioma )患者,接受三相( triple-phase )對比劑顯影的電腦斷層檢查,其病灶如下圖箭號所示,此圖最可能是什麼相的影像? 
A動脈相( arterial phase )
B門靜脈相( portal venous phase )
C延遲相( delayed phase )
D對比劑注射前( pre-contrast phase )
詳細解析
本題觀念:
本題主要考查肝臟多相式電腦斷層掃描(Multiphase CT)中,不同掃描時相(phase)的解剖構造顯影特徵,以及**肝血管瘤(Hepatic hemangioma)**在動態對比劑顯影下的典型影像表現。醫事放射師必須熟練掌握各掃描時相的時間點、血管與臟器的顯影狀態,以確保影像品質與診斷價值。
影像分析:
觀察題目提供的腹部軸切面(Axial)CT影像,可以發現以下幾個關鍵特徵:
- 降主動脈(Descending aorta):呈現極高的顯影密度(非常白),代表對比劑目前正大量集中於動脈系統中。
- 脾臟(Spleen):呈現斑駁、花斑狀或虎斑狀的顯影(Mottled / Tiger-stripe enhancement)。這是由於脾臟的紅髓與白髓血流灌注速度不同,在早期動脈相所呈現的典型特徵。
- 肝臟實質(Liver parenchyma):整體顯影程度仍偏低(暗),代表來自門靜脈的對比劑尚未大量進入肝臟微血管網。
- 病灶特徵(白色箭號處):肝臟右葉有一個低密度病灶,其邊緣出現不連續的結節狀強化(Peripheral discontinuous nodular enhancement)。此特徵其顯影密度與主動脈相近,為肝血管瘤在早期動脈相的經典表現。
選項分析
- **(A) 動脈相
...(解析預覽)...

升級 VIP 解鎖圖文解析