112年:放射診斷(2)
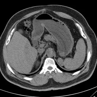
附圖電腦斷層影像中,假影形成原因可能為下列何者? 
A體內有金屬異物
B病患不自主移動
C部分體積效應
D偵檢器故障
詳細解析
本題觀念:
本題測驗對於電腦斷層(CT)影像中常見假影(Artifacts)的辨識與其成因的理解。影像中出現特定形狀的假影通常能直接對應到特定的硬體故障、物理現象或病患因素。
影像分析:
附圖為一張腹部的軸切面(Axial)電腦斷層影像,可以觀察到肝臟、充滿內容物的胃部、脾臟以及脊椎等解剖構造。然而,整個影像上覆蓋了極為明顯、以旋轉中心(Isocenter)為圓心的多圈同心圓環狀圖案(Concentric rings),這些交替的亮暗圓環嚴重干擾了影像品質。這種典型的影像表現在放射線學中稱為環狀假影(Ring artifact)。
選項分析:
- A. 體內有金屬異物:金屬異物(如人工關節、牙骨材或子彈)由於具有極高的原子序和密度,會導致嚴重的射束硬化(Beam hardening)與光子缺乏(Photon starvation),在影像上會呈現以金屬為中心的放射狀條紋假影(Starburst or Streak artifacts),而非同心圓。
- B. 病患不自主移動:病患的呼吸、心跳或不自主移動會導致資料擷取時的空間不一致。這類運動假影(Motion artifacts)在影像上通常表現為解剖構造邊緣的模糊(Blurring)、**重影(Ghosting)**或不規則的條紋,不會形成完美的同
...(解析預覽)...

升級 VIP 解鎖圖文解析