112年:放射診斷(2)
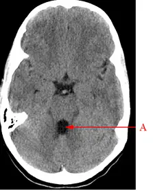
腦部電腦斷層掃描影像中,箭號 A 所指的解剖構造為何? 
A基底動脈( basilar artery )
B第四腦室( fourth ventricle )
C鞍上腦池( suprasellar cistern )
D視丘( thalamus)
詳細解析
本題觀念:
本題測驗醫事放射師對腦部電腦斷層(CT)橫斷面(axial)影像解剖構造的辨識能力,特別是後顱窩(posterior fossa)及腦室系統(ventricular system)的相對位置關係。
影像分析:
- 影像為一張腦部無對比劑的軸狀電腦斷層掃描(Axial non-contrast head CT)。
- 切面高度判斷:影像兩側可見高密度(亮白)的顳骨岩部(petrous bone)及含空氣的乳突氣室(mastoid air cells),顯示此切面位於後顱窩(posterior fossa)的高度。
- 腦幹與小腦:中央前方較為膨大圓潤的軟組織結構為橋腦(pons);在橋腦後方的廣大腦組織則為小腦(cerebellum)。
- 箭號 A 結構:箭號 A 指向一個位於中線的腔室結構,該空間呈現低密度(呈現暗色,代表內部充滿腦脊髓液 CSF),位於橋腦後方、小腦前方。
選項分析
- (A) 基底動脈(basilar artery):基底動脈位於橋腦前方的橋腦前池(prepontine cistern)中。在 CT 影像上,通常呈現為腦幹前方中線處的一個小圓點(若無顯影劑,可能呈現等密度或輕微高密度)。與箭號 A 指向腦幹後方的位置不符。
- **(B) 第四腦室(fourth ventricle
...(解析預覽)...

升級 VIP 解鎖圖文解析