112年:放射診斷(2)
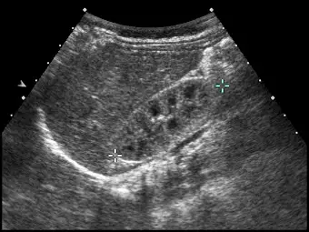
新生兒腎臟超音波掃描時,發現腎皮質回音強度明顯高於腎髓質(如下圖所示),最有可能的診斷為何? 
A正常現象
B腎水腫( hydronephrosis )
C多囊腎( polycystic kidney )
D多囊性發育不良腎( multicystic dysplastic kidney )
詳細解析
本題觀念:
本題測驗醫事放射師對於新生兒與嬰幼兒時期腎臟超音波影像特徵的掌握。新生兒的腎臟解剖生理結構與成人有顯著差異,其腎皮質與腎髓質的回音強度(echogenicity)對比是判斷影像是否正常的基礎核心知識。
影像分析:
- 影像整體特徵:為一張呈現腎臟縱切面(longitudinal view)的超音波掃描影像。
- 腎皮質(Renal cortex):影像中腎皮質的回音強度偏高(hyperechoic),亮度明顯較高,其回音程度通常與相鄰的肝臟或脾臟相當,甚至稍高。
- 腎髓質(Renal medulla):腎錐體(renal pyramids)呈現極為明顯的低回音(hypoechoic),外觀為多個排列整齊的三角形或橢圓形暗區。
- 皮髓質分界(Corticomedullary differentiation, CMD):由於皮質的高回音與髓質的低回音產生強烈對比,使得皮髓質的分界在影像上極為清晰。
- 其他發現:腎臟的集尿系統(collecting system)並無擴張,腎實質內未見異常囊腫(cysts),腎臟輪廓平順,可能有輕微正常的胎兒期小葉化(fetal lobulation)。
選項分析
- (A) 正常現象:正確。在新生兒及出生後約 6 個月內的嬰兒,由於腎絲球在皮質內的佔比相對較大
...(解析預覽)...

升級 VIP 解鎖圖文解析