112年:放射診斷(2)
有一疑似異位綜合症( heterotaxy syndrome )之患者,超音波掃描時在左上腹部找不到正常脾臟,反而在右上腹發現多個橢圓形軟組織(如下圖所示),最有可能的診斷為何? 
A多脾症( polysplenia )
B游動脾( wandering spleen )
C脾組織的異位再生( splenosis )
D副脾( accessory spleen )
詳細解析
本題觀念:
異位症候群 (Heterotaxy syndrome 或 Situs ambiguus) 是一種罕見的先天性發育異常,特徵為胸腔與腹腔器官在左右軸上的排列異常。它主要分為兩大型態:
- 左側異構 (Left isomerism):常合併多脾症 (Polysplenia syndrome)。特徵包括兩側皆為左肺(雙葉肺)、多個脾臟、下腔靜脈中斷合併奇靜脈延伸 (interrupted IVC with azygous continuation)、腹部臟器位置異常等。
- 右側異構 (Right isomerism):常合併無脾症 (Asplenia syndrome)。特徵包括兩側皆為右肺(三葉肺)、先天性無脾臟組織,且常伴隨嚴重的先天性心臟病。
影像分析:
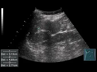
- 影像掃描切面:根據超音波影像右下角的體表標記 (body mark),探頭位於患者的右上腹 (Right upper quadrant, RUQ) 肋骨下緣。
- 超音波特徵:影像中可見多個邊界清晰、呈橢圓形的均質軟組織腫塊,其回音性 (echogenicity) 與正常脾臟實質相似。圖中標示了三個主要的結節,測量大小分別為 3.13 cm、4.69 cm 及 2.71 cm。
- 臨床意義:在左上腹找不到正常脾臟,反而於右上腹發現多個
...(解析預覽)...

升級 VIP 解鎖圖文解析