112年:放射診斷(2)
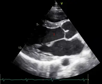
下圖為心臟超音波胸骨旁長軸( PLAX )影像,標號 1 的解剖部位應為: 
A右心室( RV)
B左心室( LV)
C主動脈瓣( AV)
D左心房( LA)
詳細解析
本題觀念:
本題考查心臟超音波(Echocardiography)中最基礎且重要的切面:胸骨旁長軸切面(Parasternal Long Axis view, PLAX) 的解剖構造識別。在進行心臟超音波檢查時,PLAX 通常是第一個獲取的切面,用來評估左心室大小、收縮功能、心室中膈與後壁厚度,以及二尖瓣與主動脈瓣的形態與活動狀況。
影像分析:
觀察提供的 PLAX 影像,探頭置於胸骨左緣,超音波音束由前胸壁向心臟後方掃描。我們可以依序辨認出以下解剖構造:
- 最上方(靠近探頭處)的無回音區:右心室(Right Ventricle, RV)。在 PLAX 切面中,右心室位於最前方。
- 分隔上下兩個心室的帶狀高回音構造:心室中膈(Interventricular Septum, IVS)。
- 影像中央最大的無回音腔室(標號 1 所在位置):左心室(Left Ventricle, LV)。
- 標號 1 下方(後方)的肌肉壁:左心室後壁(Left Ventricular Posterior Wall, LVPW)。
- 影像右下側的腔室:左心房(Left Atrium, LA)。
- 左心房與左心室之間的瓣膜:二尖瓣(Mitral Valve, MV)。
- **影像右上側的管狀構
...(解析預覽)...

升級 VIP 解鎖圖文解析