112年:放射診斷(2)
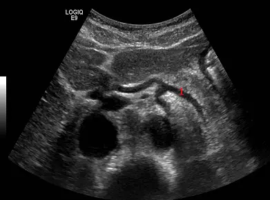
當超音波探頭以橫向方式掃描腹部時,出現如下圖海鷗影像( seagull sign ), 編號 1 為: 
Aaorta
Bceliac trunk
Chepatic artery
Dsplenic artery
詳細解析
本題觀念:
本題測驗上腹部超音波(Abdominal Ultrasound)的經典解剖影像特徵。在橫切面(Transverse plane)掃描腹主動脈時,常藉由特定血管的分支型態來定位解剖構造,其中最著名的即為「海鷗影像」(Seagull sign),用以辨識腹腔動脈幹(Celiac trunk)及其主要分支。
影像分析:
- 影像為上腹部橫切面超音波(Transverse view)。依據標準超音波方向,螢幕左側代表病患的右側,螢幕右側代表病患的左側。
- 畫面下方偏中央的巨大、無回音(黑底)圓形構造為腹主動脈(Abdominal aorta)。
- 腹主動脈前方分支出一條短的主幹,即為腹腔動脈幹(Celiac trunk),這構成了海鷗的「身體」。
- 腹腔動脈幹隨後分為兩條主要分支:
- 往畫面左側(病患右側)延伸的分支為總肝動脈(Common hepatic artery),這構成了海鷗的「右翼」。
- 往畫面右側(病患左側)延伸的分支為脾動脈(Splenic artery),這構成了海鷗的「左翼」。
- 圖中紅色數字「1」所指的血管,正位於畫面右側並朝病患左方(脾臟方向)延伸。
選項分析
- A. aorta (主動脈):位於畫面正下方較深處的大型圓形無回音構造,是腹腔動脈幹的發源處,並
...(解析預覽)...

升級 VIP 解鎖圖文解析