112年:放射診斷(1)
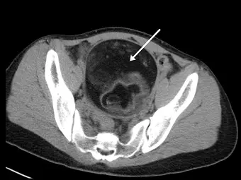
女性患者有卵巢畸胎瘤( ovarian teratoma ),未施打顯影劑的骨盆腔電腦斷層顯示腫瘤內有一低密度區(如下圖箭號處)。經測量其密度約為 -100 HU ,最有可能為下列何者? 
A脂肪
B出血
C氣體
D牙齒
詳細解析
本題觀念:
本題主要測驗醫事放射師對於電腦斷層(CT)影像中,不同組織結構的「亨氏單位(Hounsfield Unit, HU)」數值之判讀,以及卵巢畸胎瘤(ovarian teratoma)在影像學上的典型特徵。
影像分析:
這是一張骨盆腔的無顯影劑電腦斷層(non-contrast CT)軸狀切面影像:
- 病灶位置與型態:影像中央可見一巨大的局部不均質腫塊(heterogeneous mass),佔據大部分的骨盆腔。
- 箭號指示處:白色箭號指著腫瘤內部一塊明顯的「低密度區(hypodense area)」。此區域在影像上呈現深灰色,其密度明顯低於周圍軟組織與肌肉,但又比腸道內的氣體(呈現純黑色)來得亮。題目敘述指出此區域測量值約為 -100 HU。
- 伴隨特徵:腫瘤內部下方及邊緣可見較高密度的軟組織結構(可能為羅基坦斯基結節 Rokitansky nodule 或其他胚層組織),為畸胎瘤典型的異質性表現。
選項分析
- (A) 脂肪:正確。脂肪在 CT 上的標準衰減值(attenuation)約介於 -50 HU 至 -150 HU 之間。題目中測量結果為 -100 HU,完美吻合脂肪的影像特徵。且卵巢畸胎瘤(通常為成熟型皮樣囊腫)最典型的成分即是大量脂肪與皮脂物質。
- (B) 出血:錯誤
...(解析預覽)...

升級 VIP 解鎖圖文解析