112年:放射診斷(1)
男性高血壓患者突然胸痛,注射對比劑後的電腦斷層影像如下圖,最有可能的診斷為何? 
A主動脈剝離( aortic dissection )
B心肌梗塞( myocardial infarction )
C食道破裂( esophageal perforation )
D吸入異物( foreign body aspiration )
詳細解析
本題觀念:
本題測驗的是醫事放射師對於「急性主動脈症候群(Acute Aortic Syndrome)」中最常見的「主動脈剝離(Aortic Dissection)」的影像識別能力,以及結合患者臨床病史進行綜合判斷的臨床思維。電腦斷層血管攝影(CTA)是目前診斷主動脈剝離的黃金標準。
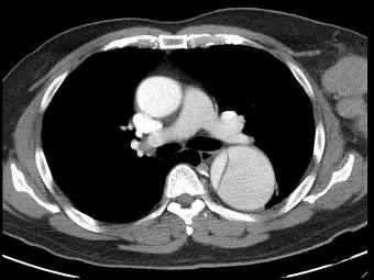
影像分析:
- 本圖為注射對比劑後的胸部電腦斷層掃描(Contrast-enhanced CT)軸切面(Axial view)影像,切面位置約在主肺動脈(Main pulmonary artery)分岔處的層級。
- 影像中可見**升主動脈(Ascending aorta)**顯影均勻,未見明顯異常構造。
- 位於脊椎前方偏左的降主動脈(Descending aorta)明顯擴張,且管腔內可見一條清晰的弧線狀透亮構造,此為典型的內膜瓣(Intimal flap)。
- 內膜瓣將降主動脈的對比劑血流管腔分隔為兩個部分,形成典型的**雙管腔(Double lumen)**標誌,即真腔(True lumen)與假腔(False lumen)。這是主動脈剝離在電腦斷層影像上最具特異性的診斷依據。
選項分析
- (A) 主動脈剝離(Aortic dissection):正確。患者為高血壓男性且有突發性胸痛,為典型的主動脈剝離高危險群與臨床表現。對比劑增
...(解析預覽)...

升級 VIP 解鎖圖文解析