112年:放射診斷(1)
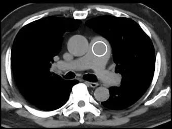
患者接受 CT angiography 檢查,操作者使用 bolus tracking 造影追蹤技術,下圖白色圓圈處 ROI ( reigon of interest)所指為何? 
A肺動脈( pulmonary artery )
B升主動脈( ascending aorta )
C降主動脈( descending aorta )
D右心室( right ventricle )
詳細解析
本題觀念:
本題測驗的是胸部電腦斷層(CT)的橫斷面解剖學知識,以及電腦斷層血管攝影(CT Angiography, CTA)中「造影追蹤技術」(Bolus tracking)的實際應用。在進行 CTA 檢查時,為了在血管內對比劑濃度最高時進行掃描,放射師會將興趣區(Region of Interest, ROI)放置於目標血管上,當該區域的密度的 Hounsfield Unit (HU) 值達到設定閾值時,便會自動觸發掃描。
影像分析:
附圖為一張無對比劑的胸部橫斷面電腦斷層影像(縱膈腔窗位),切面位置約在主動脈根部上方、肺動脈分叉處。我們可以根據解剖相對位置辨識出以下構造:
- 升主動脈(Ascending aorta):位於前縱膈腔中央偏向患者右側(即影像的左側),為一大的圓形構造。
- 肺動脈幹(Main pulmonary artery):位於升主動脈的左側(即影像的右側)且稍微偏後,圖中**白色圓圈(ROI)**標示處即為此構造。在該構造後方可見其開始分支出右肺動脈(Right pulmonary artery),並向患者右側延伸,從升主動脈後方穿過。
- 降主動脈(Descending aorta):位於後方,緊貼脊椎體的左前緣,為較小的圓形構造。
- 上腔靜脈(Superior vena cava, SVC)
...(解析預覽)...

升級 VIP 解鎖圖文解析