112年:放射診斷(1)
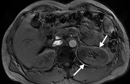
磁振造影影像如下圖,圖中之箭號處最可能為下列何種 artifact ? 
APhase mismapping artifact
Bchemical shift artifact
Cmagnetic susceptibility artifact
Dzipper artifact
詳細解析
本題觀念:
本題探討磁振造影(MRI)常見的假影(Artifacts)及其物理成因。具體而言,考驗考生是否能透過影像特徵(一側高訊號、一側低訊號),辨識出因水與脂肪質子共振頻率差異所造成的「化學位移假影」(Chemical shift artifact)。
影像分析:
- 影像為腹部之軸切面(Axial view)MRI 影像(無脂肪抑制),圖中可見肝臟、脾臟、腹主動脈以及雙側腎臟等解剖構造。
- 圖中白色箭號標示出左腎(位於影像右側)的前後邊緣,該處為腎臟(富含水分)與後腹腔脂肪(富含脂肪)的交界處。
- 上方箭號指向左腎的前側邊緣,可見一條清晰的黑色低訊號帶(Signal void / dark band)。
- 下方箭號指向左腎的後側邊緣,可見一條相對應的白色高訊號帶(Signal overlap / bright band)。
- 這種在單一器官相背對的兩側,分別出現「一暗、一亮」邊界的典型視覺表現,是發生於頻率編碼方向(Frequency-encoding direction)上的第一型化學位移假影(Chemical shift artifact of the first kind; Spatial misregistration)。由此可推知,此張影像的頻率編碼方向設定為前後向(Anteroposteri
...(解析預覽)...

升級 VIP 解鎖圖文解析