112年:放射診斷(1)
附圖中,訊號變化的解剖位置是由下列何者供應血液? 
A中大腦動脈( middle cerebral artery )
B後大腦動脈( posterior cerebral artery )
C後下小腦動脈( posterior inferior cerebellar artery )
D前大腦動脈( anterior cerebral artery )
詳細解析
本題觀念:
本題測驗的核心觀念為腦部血管的解剖支配區域(Vascular territories of the brain),以及磁振造影(MRI)在急性腦血管疾病的影像表現。身為醫事放射師,必須具備從橫斷面影像判斷病灶解剖位置,並推斷其對應供血動脈的能力。
影像分析:
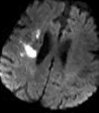
- 影像序列與特徵:此為一張腦部的軸狀切面(Axial view)磁振造影(MRI)。影像中腦脊髓液(CSF)呈現暗訊號,且病灶呈現極端明亮的高訊號(Hyperintensity),這種對比度特徵典型屬於擴散加權影像(Diffusion-Weighted Imaging, DWI)。
- 病理意義:在 DWI 影像上出現明顯的高訊號,代表該區域的水分子擴散受限(Restricted diffusion),臨床上最常見的原因為急性缺血性腦中風(Acute ischemic stroke,即急性腦梗塞)。
- 解剖位置:觀察影像,高訊號病灶位於大腦右側(影像左側即為病患右側)的側腦室(Lateral ventricle)外側,涵蓋了額頂葉的深部白質(放射冠 Corona radiata / 半卵圓中心 Centrum semiovale)以及部分鄰近皮質下區域。
選項分析
- **(A) 中大腦動脈(middle cerebral
...(解析預覽)...

升級 VIP 解鎖圖文解析