112年:放射診斷(1)
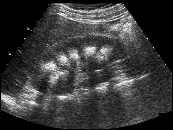
腎臟超音波掃描時,發現多處的腎錐體( pyramids )呈現高回音性,下圖最有可能的診斷為何? 
A腎髓質鈣化症( medullary nephrocalcinosis )
B血管肌肉脂肪瘤( angiomyolipoma )
C正常現象
D腎盂腎炎( pyelonephritis )
詳細解析
本題觀念:
本題主要考查腎臟超音波(renal ultrasound)中,皮質與髓質(cortex and medulla)回音性(echogenicity)變化的臨床意義。正常情況下,腎臟的超音波解剖結構由外至內分別為:相對於肝臟或脾臟呈現等回音或稍低回音的「腎皮質」、含有較多水分(尿液)而呈現低回音(hypoechoic)的「腎髓質(包含腎錐體)」,以及含有大量脂肪、血管與集尿系統而呈現高回音(hyperechoic)的「腎竇(renal sinus)」。當腎錐體出現異常的高回音時,代表該區域發生了病理性的物質沉積,最典型的狀況即為鈣質沉積。
影像分析:
觀察題目所附之腎臟灰階超音波影像,可以發現以下特徵:
- 腎皮質(Renal cortex):呈現相對正常的偏低回音性。
- 腎髓質 / 腎錐體(Renal medulla / pyramids):影像中可見多個位於皮質下方的錐狀至圓形結構,呈現極為明顯的高回音(hyperechoic,亮白區域)。這使得原本應該是「皮質較亮、髓質較暗」的正常皮質髓質分界(corticomedullary differentiation)發生了反轉(reversal)。
- 腎竇(Renal sinus):中央區域依然為正常的高回音。 此種多發性、廣泛分佈於腎錐體的高回音影像,是典
...(解析預覽)...

升級 VIP 解鎖圖文解析