112年:放射診斷(1)
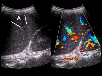
超音波掃描一位肝硬化併有門脈高壓患者,發現其脾臟有一個局部楔形( wedge-shaped )低回音區(如下圖左側 A區),彩色都卜勒掃描如下圖右側所示。最有可能的診斷為何? 
A脾梗塞( splenic infarction )
B脾血管瘤( splenic hemangioma )
C脾囊腫( splenic cyst )
D轉移癌( metastatic cancer )
詳細解析
本題觀念:
本題測驗對於脾臟局部病灶的超音波影像辨識能力。主要觀念在於透過 B-mode 超音波的形態學特徵(如病灶形狀、回音程度),結合彩色都卜勒超音波(Color Doppler ultrasound)的血流灌注情形,來鑑別脾臟的常見病變。同時,也需結合患者「肝硬化併發門脈高壓」的臨床背景進行綜合判斷。
影像分析:
- 左側影像(B-mode 超音波):顯示脾臟實質內有一個位於邊緣的「楔形(wedge-shaped)」低回音(hypoechoic)區域(標示為 A 區)。此病灶的底部貼近脾臟包膜(capsule),尖端朝向脾門(splenic hilum)方向,這是血管阻塞造成灌注區域缺血的典型幾何分佈。
- 右側影像(彩色都卜勒超音波):觀察同一區域的血流分布,可見周邊正常的脾臟實質有豐富的血流訊號(紅色與藍色),但該「楔形低回音區」內部完全缺乏血流訊號(avascular),證實該區域失去血液灌注。
選項分析
- A. 脾梗塞(splenic infarction):為正確解答。脾梗塞的典型超音波表現即為周邊型、楔形(wedge-shaped)的低回音區(在急性至亞急性期),且都卜勒超音波顯示病灶內無血流。肝硬化併發門脈高壓會導致脾臟充血性腫大(congestive splenomegaly),增加脾臟缺血與梗塞的風險
...(解析預覽)...

升級 VIP 解鎖圖文解析