112年:放射診斷(1)
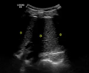
附圖為肝臟超音波掃描影像,圖中三個星號所代表的假影為下列何種原因造成? 
A胃部空氣
B肋骨
C橫結腸空氣
D呼吸運動
詳細解析
本題觀念:
本題測試醫事放射師對超音波假影(Ultrasound artifacts)中「後方聲波陰影(Posterior acoustic shadowing)」的辨識能力及其物理成因。當超音波遇到高衰減(高吸收或高反射)的介質時,會阻擋聲波繼續向深處傳遞,導致該結構後方出現無回音的黑色帶狀區域。臨床上必須能夠區分由不同介質(如骨骼、結石或氣體)所產生的不同型態陰影。
影像分析:
- 探頭與掃描部位:影像頂部呈現弧狀 footprint(標示 LOGIQ E9),顯示使用的是腹部超音波常用的曲陣列探頭(Curved array / Convex probe)。畫面中顯示的軟組織為肝臟實質(Liver parenchyma)。
- 假影特徵:在影像中可觀察到三道明顯的、垂直的無回音(Anechoic)黑色帶狀區域,從近端(表淺處)一直延伸至影像最深處。這三道陰影帶邊界相對銳利,且呈現等距分佈。三個黃色星號(*)正是標示在此黑色陰影帶中。
- 物理成因對應:這三道黑色帶狀區域是典型的「乾淨陰影」(Clean shadowing)。在進行肝臟超音波時,探頭常需經過肋間(Intercostal approach)。這三道等距的陰影完美對應了人體肋骨的解剖排列位置。當超音波射束撞擊到肋骨皮質骨時,發生了極高的反射與吸收,使得聲波無法穿透,進而在其後
...(解析預覽)...

升級 VIP 解鎖圖文解析