112年:放射診斷(1)
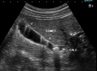
當超音波掃描膽囊時,呈現如附圖的彗尾假影( comet tail ),其最有可能的病變為何? 
A膽泥淤積( gallbladder sludge )
B急性膽囊炎( acute cholecystitis )
C膽囊癌( gallbladder carcinoma )
D膽囊腺肌增生症( adenomyomatosis )
詳細解析
本題觀念:
這是一道測試膽道超音波影像特徵及其病理對應關係的題目,特別針對膽囊影像中出現的「彗星尾假影」(comet tail artifact)之臨床意義與成因進行探討。
影像分析:
提供的影像為膽囊的灰階超音波掃描圖,可觀察到以下幾項重要特徵:
- 影像中標示「COMET」的兩個箭頭,指向膽囊前壁內的數個高回音(hyperechoic)亮點。
- 這些亮點的後方伴隨著呈V字型、向下延伸且逐漸變窄的強烈回音帶,這正是典型的彗星尾假影(comet tail artifact)。
- 產生此假影的區域,可明顯觀察到膽囊壁呈現局部增厚。
- 影像右下方另有標示「CALC」的箭頭,指向膽囊頸部或底部的一個強回音結構,其後方伴隨明顯的後方聲影(posterior acoustic shadowing),這代表患者同時合併有膽囊結石(gallstone / calculus)。
選項分析:
A. 膽泥淤積(gallbladder sludge):膽泥在超音波下通常呈現均勻、低振幅(低回音至等回音)的沉積物,會隨著病患姿勢改變而在膽囊低處分佈。膽泥並不會產生強烈的反射,因此不會伴隨彗星尾假影或後方聲影。故此選項不符。
B. 急性膽囊炎(acute cholecystitis):典型超音波發現包含膽囊壁增厚(>3 mm)、膽囊周圍積水
...(解析預覽)...

升級 VIP 解鎖圖文解析