111年:放射器材(2)
如圖所示的 CT 影像是採用何種技術所產生的 
Amaximum intensity projection(MIP)
Bshaded surface display(SSD)
Cmulti-planar reformation(MPR)
Dvolume rendering(VR)
詳細解析
本題觀念:
電腦斷層 (CT) 影像後處理技術 (Image Post-processing Techniques) 的辨識與應用。在多切面電腦斷層 (MDCT) 掃描後,會得到亞毫米 (sub-millimeter) 的等像積 (isotropic) 體積數據。透過不同的後處理軟體技術,可將這些原始數據轉換為有助於臨床診斷的 2D 或 3D 影像,放射師必須能精確判別各種成像原理與其對應的影像特徵。
影像分析:
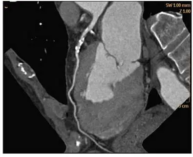
本題提供的圖片為一張心臟電腦斷層的後處理影像,具備以下視覺與解剖特徵:
- 影像特徵:畫面中顯示一條充滿對比劑的管腔結構(冠狀動脈,依其解剖位置與右心室的相對關係,推測為右冠狀動脈 RCA),且血管壁上帶有多處高密度的鈣化斑塊 (calcified plaques)。
- 空間呈現:冠狀動脈在 3D 解剖空間中原為彎曲的立體走向,但在這張影像中卻被「拉直」並完整顯示在同一個 2D 平面上。
- 組織對比:除了血管本身,還能清晰看見周圍軟組織(如心肌、心室腔室)的原始灰階斷面結構,且影像右上角標示著「SW 1.00 mm」(Slice Width,切面厚度),符合 2D 切面影像的特性。 綜合以上特徵,此為典型的「曲面重組」(Curved Planar Reformation, CPR) 影像,而 CPR 正是多重平面重組 (Mul
...(解析預覽)...

升級 VIP 解鎖圖文解析