111年:放射器材(2)
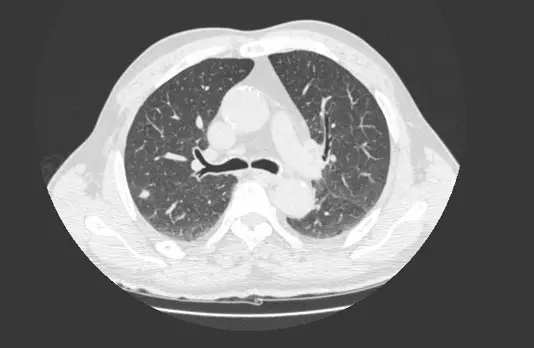
下圖是由那一種影像設備拍攝? 
A胸部電腦斷層掃描(chest CT)
B胸部 X 光(chest X-ray radiography )
C胸部超音波(chest ultrasound)
D胸部正子造影(chest PET)
詳細解析
本題觀念:
本題考查醫學影像學中各種基本造影設備所產生的影像特徵。身為醫事放射師,必須具備從影像的切面方向(如軸切面、冠狀面、矢狀面)、組織對比度(如利用 X 光衰減值、聲波反射、或放射性同位素代謝),以及影像解析度來分辨該影像是源自哪一種檢查設備的基本能力。
影像分析:
觀察題目提供的圖片,可以歸納出以下幾個關鍵特徵:
- 切面方向(Plane):影像呈現的是標準的軸切面(Axial view / Transverse plane),也就是將人體橫切的視角。影像上方為前胸(Anterior),下方為後背(Posterior),左側為人體的右邊,右側為人體的左邊。
- 組織密度與對比(Tissue Density & Contrast):
- 肺野(Lungs):呈現大片深黑色,代表充滿空氣(極低密度)。同時可清晰看見白色的肺血管與氣管分支網絡分布其中。
- 骨骼(Bones):影像最下方的脊椎(Spine)、周圍的肋骨(Ribs)以及最上方的胸骨(Sternum)均呈現極亮的白色,代表高密度(高 X 光衰減)。
- 縱膈腔(Mediastinum):位於中央的軟組織(心臟大血管結構)呈現均勻的淺灰色。
- 氣道(Airway):中央可見氣管分叉處(Carina level),左右
...(解析預覽)...

升級 VIP 解鎖圖文解析