111年:放射診斷(2)
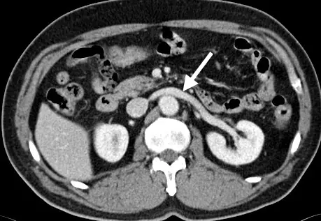
下圖中箭號所示的解剖構造為何? 
Asplenic artery
Brenal vein
Csuperior mesenteric artery
Dportal vein
詳細解析
本題觀念:
本題測驗醫事放射師對於腹部血管在電腦斷層(CT)軸狀切面(Axial view)上的解剖位置與空間關係的識別能力。特別是腎臟血管與腹主動脈(Abdominal aorta)、下腔靜脈(Inferior vena cava, IVC)及腸系膜上動脈(Superior mesenteric artery, SMA)之間的相對位置。
影像分析:
- 影像基礎:此為腹部對比劑增強電腦斷層(Contrast-enhanced CT)的軸狀(Axial)影像。從血管高亮顯影的程度(特別是下腔靜脈與腎臟皮髓質的顯影狀況)可以看出處於靜脈期(Venous phase)。
- 解剖標記(Landmarks):
- 影像下方中央為脊椎。
- 脊椎前方、偏影像右側(人體左側)的正圓形高亮血管為腹主動脈(Abdominal aorta)。
- 腹主動脈右側(影像左側,人體右側)較扁平的巨大血管為下腔靜脈(Inferior vena cava, IVC)。
- 影像左右兩側的實質化器官為雙側腎臟。
- 箭號所指構造:白色箭號指著一條管狀的血管構造,我們可以看到它起源自左側腎臟(影像右側)的腎門,向人體右側橫跨中線。
- 關鍵空間關係:這條血管在橫越中線時,行經腹主動脈的「前方」,同時又穿過另一條較小
...(解析預覽)...

升級 VIP 解鎖圖文解析