111年:放射診斷(2)
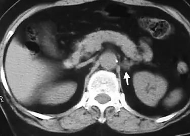
電腦斷層影像檢查如下圖,關於圖中箭號所指,最可能為下列何者? 
Aadenoma of left adrenal gland
Blymph node metastasis
Cpancreatic cyst
Drenal stone
詳細解析
本題觀念:
本題測驗考生對於腹部電腦斷層(CT)之橫斷面解剖構造的認識,特別是後腹腔器官(如腎上腺、腎臟、胰臟)的相對位置,以及常見病灶之基礎影像特徵。在醫學影像判讀上,精準定位病灶的解剖位置是推斷其疾病種類的第一步。
影像分析:
- 影像掃描參數與切面:此為腹部無對比劑(Non-contrast)電腦斷層橫斷面影像,因為腹主動脈(Aorta)與下腔靜脈(IVC)的密度與周圍肌肉相近,無明顯亮白(高密度)的顯影劑特徵。
- 解剖構造定位:
- 中央可見腹主動脈位於椎體前方,其兩側有橫膈腳(Crura of diaphragm)包覆。
- 影像右側(病患左側)可見左側腎臟的上極。
- 病灶前方有胰臟橫跨,胰臟後方有脾靜脈。
- 病灶特徵:箭號所指處為一界線清楚、呈現相對低密度(Low attenuation)的結節狀腫塊。
- 位置:位於左側腎臟上極的內前側、左側橫膈腳的外側、胰臟尾部及脾臟血管的後方。這個特定的解剖空間正是**左側腎上腺(Left adrenal gland)**的所在位置。
- 密度:腫塊呈現偏暗的低密度,暗示其內部含有豐富的脂質(Lipid-rich),這在影像學上是良性腎上腺腺瘤的高度懷疑特徵。
選項分析
- **(A) adenoma of left adrenal gl
...(解析預覽)...

升級 VIP 解鎖圖文解析