111年:放射診斷(2)
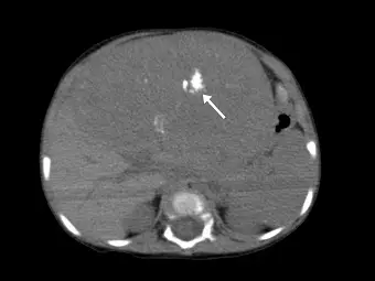
幼童患有肝母細胞瘤( hepatoblastoma ),未施打顯影劑的腹部電腦斷層顯示腫瘤內有不規則白色區塊(如下圖箭號處),經測量其密度約為 300 HU ,其最有可能為下列何種成分? 
A鈣化
B出血
C脂肪
D氣體
詳細解析
本題觀念:
本題測驗對於電腦斷層(CT)影像中,不同組織與物質的 Hounsfield Unit (HU) 密度值判讀,以及兒童最常見的原發性肝臟惡性腫瘤——**肝母細胞瘤(Hepatoblastoma)**的影像學特徵。
影像分析:
- 影像切面與技術:這是一張幼童的未施打顯影劑腹部電腦斷層(Non-contrast abdominal CT)橫斷面(Axial view)影像。
- 解剖與病灶發現:影像中可見肝臟區域有一巨大且佔位性的實質腫瘤,佔據了大部分的腹腔空間。
- 箭號指示處分析:白色箭號指著腫瘤內部一塊極高密度(hyperdense)的不規則亮白色區塊。在視覺對比上,此區塊的亮度與畫面下方的脊椎骨(vertebra)及兩側的肋骨(ribs)幾乎一致,暗示其成分與骨骼相似。
- 數值對應:題目提供該區塊的 CT 測量密度約為 300 HU。在 CT 影像學中,大於 100 HU 且視覺上呈現亮白色的物質,高度提示為鈣化或骨骼結構。
選項分析
- (A) 鈣化(Calcification):正確。在 CT 影像中,鈣化或骨質結構的密度大於 +100 HU(多落在 +150 至 +1000 HU 之間)。箭號處的 300 HU 數值與亮白色外觀完全吻合。此外,肝母細胞瘤在病理與影像表現上,約
...(解析預覽)...

升級 VIP 解鎖圖文解析