111年:放射診斷(2)
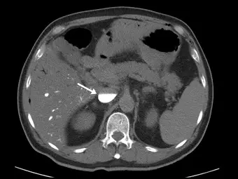
患者接受電腦斷層檢查,由上臂注射對比劑,於檢查中心臟驟停( sudden cardiac arrest ),上腹部某血管呈現對比劑與血液的水平面( contrast-blood level ),下圖箭號所指之解剖構造為何? 
A下腔靜脈( inferior vena cava )
B門靜脈( portal vein )
C腹主動脈( abdominal aorta )
D肝動脈( hepatic artery )
詳細解析
本題觀念:
本題的核心概念為「對比劑依賴性鬱積徵象(Dependent contrast pooling sign)」或稱為「下腔靜脈對比劑分層徵象(IVC contrast level sign)」。當病患在進行靜脈注射對比劑的 CT 檢查過程中,若發生心因性休克或心臟驟停(sudden cardiac arrest),由於缺乏心臟向前的推動力,比重較高的含碘對比劑會受到重力影響而產生異常的靜脈逆流與沉澱現象。
影像分析:
觀察此張上腹部的無顯影/早期異常顯影的軸切面(axial)CT 影像:
- 解剖構造定位:影像中央偏下方為脊椎(Vertebral body)。脊椎正前方偏左側的圓形管狀構造為「腹主動脈(Abdominal aorta)」,此處呈現低密度,表示對比劑尚未到達左心與動脈系統。
- 箭號指引處:脊椎前方偏右側的粗大血管即為「下腔靜脈(Inferior vena cava, IVC)」。
- 異常影像特徵:箭號所指的下腔靜脈內,出現了一條非常清晰的水平線。血管下半部(靠背側,即仰躺時的重力垂下處)呈現極高密度的亮白色,這是因為含碘對比劑沉積於此;血管上半部(靠腹側)則為密度較低的血液。這種現象即為題幹所描述的「對比劑與血液的水平面(contrast-blood level)」。
選項分
...(解析預覽)...

升級 VIP 解鎖圖文解析