111年:放射診斷(2)
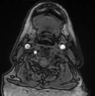
如下圖,在這組 2D TOF MRA 上面的每一張影像,左邊的椎動脈都沒有訊號,下列何者為可能的結論? 
A可以確定是血管阻塞
B可能有 turbulent flow
C是因為 flow void
D可能是逆向的 flow
詳細解析
本題觀念:
本題測驗磁振血管攝影(Magnetic Resonance Angiography, MRA)中,2D Time-Of-Flight (TOF) 的成像原理,以及空間預飽和脈衝(Spatial presaturation band)對血流方向的影響與潛在的假影(Pitfall)。
影像分析:
此圖為頸部的 2D TOF MRA 橫斷面(Axial)原始影像(Source image)。
- 在影像左側(患者右側),可見明亮的高訊號圓點,分別代表右側的頸動脈(Carotid artery)以及後方的右側椎動脈(Right vertebral artery)。
- 在影像右側(患者左側),可見明亮的左側頸動脈。
- 然而,在患者左側椎動脈的解剖位置上,卻呈現完全沒有訊號(黑色)。題目特別強調「每一張影像」左邊椎動脈都沒有訊號。
選項分析
- A. 可以確定是血管阻塞:錯誤。雖然血管阻塞(Occlusion)會因為沒有血流而導致沒有訊號,但在 2D TOF MRA 中,缺乏訊號不一定代表阻塞,逆向血流(Retrograde flow)同樣會導致完全無訊號。因此不能「確定」是阻塞。
- B. 可能有 turbulent flow:錯誤。亂流(Turbulent flow)會造成質子失去相位(Intravoxel dephasi
...(解析預覽)...

升級 VIP 解鎖圖文解析