111年:放射診斷(2)
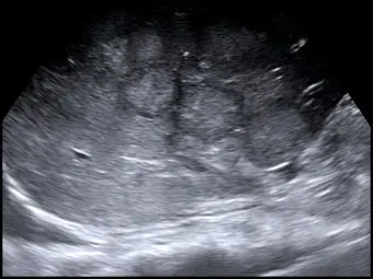
女性患者有癌症病史,肝臟超音波掃描時,發現多個病灶,且其邊緣呈現低回音性暈環( hypoechoic halos),根據下圖最有可能的診斷為何? 
A轉移性肝癌( liver metastasis )
B肝臟血管瘤( hemangioma )
C肝臟局部結節性增生( focal nodular hyperplasia )
D肝血腫( liver hematoma )
詳細解析
本題觀念:
本題主要測驗考生對於肝臟腫瘤在超音波影像下特徵的辨識能力,特別是針對「轉移性肝癌(Liver metastasis)」的經典影像學表現(超音波徵象)以及結合病患臨床病史(癌症病史)進行綜合診斷的臨床推理能力。
影像分析:
- 灰階超音波影像:本題提供的肝臟超音波影像中,可以清楚觀察到肝臟實質內散佈著「多發性(multiple)」的結節狀病灶。
- 回音特性:這些病灶的中心區域呈現相對等回音(isoechoic)或稍微高回音(hyperechoic),而最關鍵的特徵在於其周圍皆包覆著一圈明顯的**「低回音性暈環(hypoechoic halo)」**。
- 經典徵象:此種「中心高/等回音,外圍低回音暈環」的視覺呈現,在超音波影像學上被稱為經典的**「牛眼徵(Bull's eye sign)」或「靶心徵(Target sign)」**。外圍的低回音暈環在病理上通常代表著腫瘤邊緣活躍增生的癌細胞,以及被腫瘤推擠而受壓迫的正常肝臟實質組織。
選項分析
- (A) 轉移性肝癌(liver metastasis):正確。當超音波發現肝臟有多發性病灶,且具備典型的「牛眼徵」或「低回音性暈環」時,高度提示為惡性腫瘤。再加上題幹明確指出該女性患者有「癌症病史」,臨床上首先必須考慮的就是癌症發生肝臟轉移。
...(解析預覽)...

升級 VIP 解鎖圖文解析