111年:放射診斷(2)
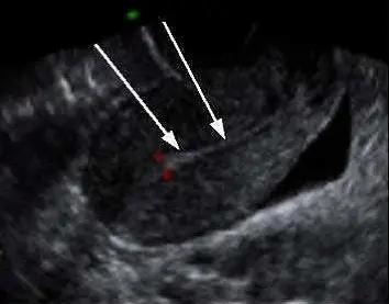
附圖為子宮超音波掃描,箭號所指的構造最可能為那一項? 
A子宮內膜
B子宮肌瘤
C子宮動脈
D子宮內避孕器
詳細解析
本題觀念:
骨盆腔超音波(Pelvic ultrasound)之子宮解剖構造與影像特徵。重點在於辨識子宮在灰階超音波下的正常結構,包含子宮肌層(Myometrium)與子宮內膜(Endometrium),並能與其他病理性構造(如肌瘤)或外來物(如避孕器)進行鑑別診斷。
影像分析:
本圖為經腹部骨盆腔超音波(Transabdominal pelvic ultrasound)的子宮矢狀切面(Sagittal view)影像:
- 影像方位與周邊構造:畫面右下側可見一呈現無回音(Anechoic)的黑色液體區域,此為充滿尿液的膀胱(Urinary bladder)。在經腹部超音波中,脹尿的膀胱被用來作為音窗(Acoustic window),以推開腸道氣體並利於觀察其後方的子宮。
- 子宮主體:位於膀胱後方的梨形實質器官。其外圍呈現均勻中等回音(Mid-gray echogenicity)的寬厚區域為子宮肌層(Myometrium)。
- 箭頭所指構造:兩條白色箭頭共同指向子宮正中央的一條細長、呈現高回音(Hyperechoic,較白)的線狀構造。此特徵為子宮內膜線(Endometrial stripe/echo),代表子宮腔前後壁內膜相貼合的介面。根據其細而單一的高回音線狀外觀,反映出此時內膜較薄,推測可能處於月經週期的早期增殖期
...(解析預覽)...

升級 VIP 解鎖圖文解析