111年:放射治療(2)
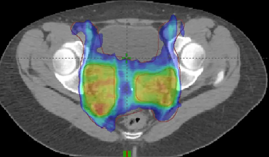
使用子宮頸癌骨盆放射治療(如下圖),下列何者正確?①這是盒形照野( box field )放射治療 ②使用整合加強治療技術( simultaneous integrated boost ) ③此病患有脹膀胱 ④直腸不是危急器官 
A② ④
B① ②
C① ③
D② ③
詳細解析
本題觀念:
本題測驗的重點在於子宮頸癌骨盆腔放射治療的臨床實務,包含影像上的劑量分佈判讀、現代放射治療技術(如 IMRT 及其衍生的 SIB 技術)的特徵,以及危急器官(Organ at Risk, OAR)的保護與病患治療前的準備(如脹膀胱)。
影像分析:
本題提供一張骨盆腔的軸狀電腦斷層(Axial CT)影像,並疊加了放射治療的劑量分佈圖(Color wash)。
- 劑量順形度:劑量分佈呈現高度順形(Conformal),並且在前方與後方產生了明顯的凹陷,將高劑量區緊密包覆在兩側骨盆腔淋巴結與中央的子宮旁組織周圍。這明顯是強度調控放射治療(IMRT)或體積調控弧形放射治療(VMAT)的特徵。
- 整合加強治療技術(SIB):從色彩分佈可以觀察到兩種明顯的劑量階層:外圍的藍色區域為基礎處方劑量(通常用於預防性骨盆腔淋巴結照射),而兩側深黃色/橘紅色的區塊則是針對局部區域(如已轉移的淋巴結或高風險區)給予更高的劑量。在同一個治療計畫、同一次給予不同的標靶不同劑量,即為 SIB 技術。
- 脹膀胱(Full Bladder):在標靶區域的正前方(影像上方),可見一個體積巨大、呈現均勻水液密度的深灰色構造,這是脹滿的膀胱。骨盆腔放射治療標準流程通常會要求病患「脹膀胱」,目的是將小腸往上及往前推擠,使其離開輻射高劑量區,藉此減少腸胃道副
...(解析預覽)...

升級 VIP 解鎖圖文解析