111年:放射診斷(1)
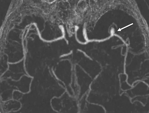
頭部 CT的影像如下圖,下列敘述何者錯誤? 
A此為 CT angiography 檢查
B此為 maximum intensity projection ( MIP )處理後的影像
C病人可能以 subarachnoid hemorrhage ( SAH )表現
D箭頭所指處為前交通枝動脈瘤( Acom aneurysm )
詳細解析
本題觀念:
本題主要測驗醫事放射師對於頭部電腦斷層血管攝影(CT Angiography, CTA)影像的解剖構造識別能力,以及對 3D 影像後處理技術(如 MIP)的了解。考生必須能夠區分 Willis 環(Circle of Willis)中各條主要血管的走向與相對位置,並辨識常見的血管病灶(如動脈瘤)。
影像分析:
- 影像模式:這是一張頭部電腦斷層血管攝影(CTA)影像。
- 後處理技術:影像呈現極高對比的血管樹狀結構,而周圍的腦實質背景被抑制,這是典型的**最大強度投影(Maximum Intensity Projection, MIP)**技術。MIP 會將投影路徑上具最大 CT 值(即充滿含碘對比劑的血管)的體素(Voxel)顯示在二維畫面上,是臨床上評估腦血管病變的標準後處理流程。
- 解剖構造與病灶:從血管分佈來看,此為軸切面(Axial view)或略帶角度的冠狀切面。影像中央可見兩側內頸動脈(ICA)向上延伸後,向內前側分出大腦前動脈(ACA),並在中線由前交通枝動脈(Acom)相連。同時,向兩側水平、外側延伸的則是大腦中動脈(MCA)。
- 箭頭所指處:白色箭頭指向左側(影像右側,符合放射學常規)向外延伸的大腦中動脈(MCA)分叉處,該處有一個明顯的囊狀突起物,這是典型的**大腦中動脈
...(解析預覽)...

升級 VIP 解鎖圖文解析