111年:放射診斷(1)
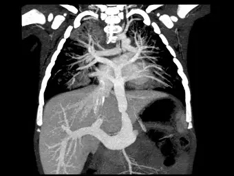
先天性心臟病患者,胸部 CT angiography 顯示全肺靜脈迴流異常( total anomalous pulmonary venous return,TAPVR)如下圖所示。此影像是用何種後處理技術? 
Amaximum intensity projection ( MIP )
Bminimum intensity projection ( MinIP )
Csurface rendering( SR )
Dpartial volume averaging ( PVA )
詳細解析
本題觀念:
本題測驗電腦斷層掃描(CT)中常見的影像後處理(Post-processing)技術之辨識與應用。在心血管解剖異常(如全肺靜脈迴流異常,TAPVR)的診斷中,選擇適當的 2D 投影或 3D 後處理技術,對於清晰呈現病灶的空間走向與血管連通關係具有高度的臨床價值。
影像分析:
- 影像特徵:這是一張冠狀面(Coronal view)的胸腹部電腦斷層血管攝影(CT angiography, CTA)影像。
- 解剖與病理發現:影像中可以清楚看到對比劑充盈的血管樹,以及兩側的肺部血管。仔細觀察解剖異常處,可發現患者的肺靜脈並未正常匯入左心房,而是共同匯聚成一條垂直靜脈(vertical vein),並向下穿過橫膈膜,連接至肝臟的門靜脈系統(portal venous system)。這在臨床上是典型的下心型全肺靜脈迴流異常(Infracardiac TAPVR, Type III)。
- 後處理技術特徵:影像中高密度的構造(施打對比劑的血管與骨骼,如脊椎和肋骨)被特別突顯出來,而背景(如充滿空氣的低密度肺部組織)則顯得暗淡。這種「保留視線穿透路徑上最大 CT 值(Hounsfield Unit)」的視覺效果,使得血管具有前後重疊的透視感與高對比,正是典型的最大強度投影(MIP)。
選項分析:
- **(A)
...(解析預覽)...

升級 VIP 解鎖圖文解析