111年:放射診斷(1)
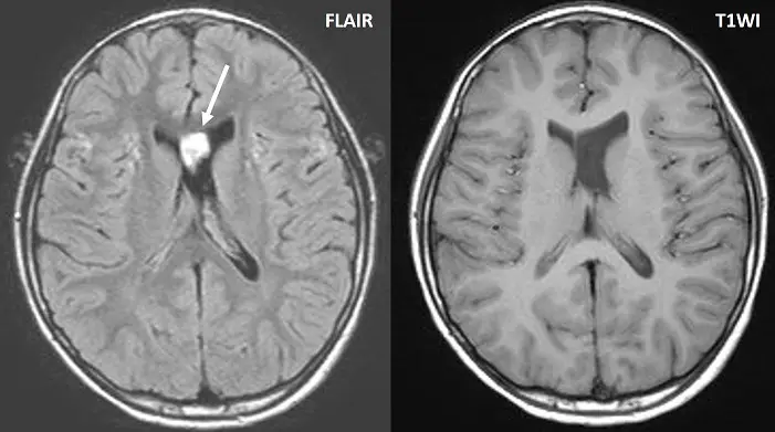
下圖中 FLAIR影像左側腦室內有一個白的訊號如箭號處,此應為: 
Aflow phenomenon
B腫瘤
C出血
Dtruncation artifact
詳細解析
影像分析
- FLAIR 影像:在軸切面(axial)的 FLAIR 影像中,白色箭號指著左側側腦室(lateral ventricle)靠近室間孔(foramen of Monro)的位置,呈現一個局部且明顯的高訊號(hyperintensity)亮點。
- T1WI 影像:在同一解剖假面的 T1WI 影像中,雙側側腦室內的腦脊髓液(CSF)均呈現均勻的低訊號(hypointensity,呈現黑色)。箭號對應的位置沒有任何軟組織腫塊、不正常的結構佔位,也沒有異常的訊號變化。
- 綜合判讀:由於在解剖結構對比極佳的 T1WI 上完全沒有實質病灶的特徵,而在 FLAIR 上卻出現高訊號,這強烈提示該訊號並非實質的病理異常(如腫瘤或出血),而是與磁振造影技術相關的假影(artifact)或血流生理現象。
本題觀念
本題主要測驗磁振造影中 FLAIR(Fluid-Attenuated Inversion Recovery)序列的成像原理及其常見假影。FLAIR 利用特定的反轉時間(Inversion Time, TI)來消除(nulling)純水或靜止的腦脊髓液(CSF)訊號。然而,在腦脊髓液流動較快或產生擾流的特定解剖區域,流動現象(flow phenomenon)會導致未被完全消除訊號的液體進入切面內,進而產生假性高訊號,這在臨床影像判讀上是
...(解析預覽)...

升級 VIP 解鎖圖文解析