111年:放射診斷(1)
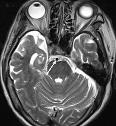
下圖影像箭號處的黑點成因為何? 
Aflow void in a normal patent vessel
Bflow related enhancement
Coccluded vessel
Dmicrobleed
詳細解析
本題觀念
本題測驗磁振造影 (MRI) 中血流動力學對影像訊號的影響,特別是「血流空洞效應 (Flow void phenomenon)」在自旋回波 (Spin echo, SE) 序列中的表現機制。放射師必須了解流動物質如何在不同的波序參數中產生無訊號或高訊號,進而判別正常生理狀態與病灶。
影像分析
- 影像為一張頭部軸狀切面 (axial plane) 磁振造影影像,切面位置位於橋腦 (pons) 高度。
- 根據影像中腦脊髓液 (CSF)(位於橋腦前池、第四腦室)及眼球玻璃體皆呈現高訊號(亮白色),可明確判定此為 T2 權重影像 (T2-weighted image, T2WI)。
- 白色箭頭所指之處位於橋腦前方的橋腦前池 (prepontine cistern) 內,呈現一個極低訊號(完全黑色)的圓形構造。
- 依據局部解剖學特徵,該圓形構造為基底動脈 (basilar artery) 的橫切面。
選項分析
- (A) flow void in a normal patent vessel(正常通暢血管中的血流空洞效應):正確。在常規的 SE 或 FSE (Fast Spin Echo) 序列中,組織必須同時經歷 90度的激發脈衝 (excitation pulse) 與 180度的聚焦脈衝 (refocusing pulse)
...(解析預覽)...

升級 VIP 解鎖圖文解析