111年:放射診斷(1)
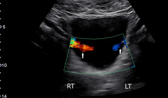
下圖為膀胱的彩色都卜勒影像(橫向掃描),箭號所指的是: 
A輸尿管尿液射入膀胱( ureteric jet )
B膀胱炎( cystitis)
C膀胱癌( bladder cancer )
D膀胱瘜肉( polyp)
詳細解析
本題觀念:
本題測驗醫事放射師對於骨盆腔超音波(Pelvic Ultrasound)中,彩色都卜勒(Color Doppler)應用於正常泌尿道生理現象的影像辨識能力與解剖學對應。
影像分析:
- 影像模式:骨盆腔橫切面(Transverse scan)之彩色都卜勒超音波影像。
- 解剖構造與發現:圖中中央大片無回音(anechoic,黑色)區域為充滿尿液的膀胱。在膀胱後側壁偏外側處(相當於膀胱三角 trigone 的兩側輸尿管開口位置),可見兩道分別呈現紅色與藍色的彩色血流訊號(如白色箭頭所指),向膀胱腔內噴射。
- 彩色都卜勒意義:此處的彩色訊號並非實質血管內的血流,而是代表「流體(尿液)的動態移動」。紅色與藍色僅代表尿液噴射方向相對於超音波探頭的角度差異(朝向或遠離探頭)。這種陣發性進入膀胱的彩色訊號,即為典型的輸尿管噴尿現象。
選項分析
- (A) 輸尿管尿液射入膀胱(ureteric jet):正確。當輸尿管透過蠕動將尿液排入膀胱時,由於噴射出的尿液與膀胱內原有的尿液在流速與比重上產生差異,在彩色都卜勒模式下會呈現明顯的噴射狀訊號。圖中箭號所指正是兩側出現的 ureteric jet。
- (B) 膀胱炎(cystitis):膀胱炎在超音波下的典型表現為膀胱壁瀰漫性增厚,且可能伴隨尿液中出現回音性懸浮物(
...(解析預覽)...

升級 VIP 解鎖圖文解析