111年:放射診斷(1)
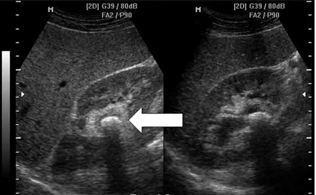
下圖為腎臟超音波縱向影像,箭號所指的是: 
Aangiomyolipoma( AML )
Brenal cell carcinoma ( RCC )
Crenal cyst
Drenal stone
詳細解析
本題觀念:
本題測驗考生對於腎臟常見病灶在超音波(Ultrasound)下的影像特徵與假影(Artifact)的判讀能力。考生必須具備區分腎臟結石、囊腫、良性腫瘤與惡性腫瘤的超音波表現,特別是對於「高回音(hyperechoic)」合併不同超音波假影的鑑別診斷。
影像分析:
題目提供了兩張腎臟縱切面超音波影像(同一部位的不同切面或參數)。
- 正常結構:影像中可見腎臟實質(較低回音的皮質區)以及中央高回音的腎竇(renal sinus)區域。
- 異常病灶:在白色粗箭頭所指之處,位於腎竇/腎盂(收集系統)區域內,可見一個極高回音(強烈反白亮點,hyperechoic focus)的弧狀結構。
- 關鍵假影(Artifact):在此高回音病灶的正後方(影像下方方向),伴隨著一道明顯的黑色帶狀陰影,稱為**「後方音響陰影(posterior acoustic shadowing)」**。這是由於超音波遇到高密度、高反射的鈣化物質時,聲波被強烈反射與吸收,無法穿透而在其後方形成的典型物理現象。
選項分析
- (A) angiomyolipoma(AML)血管肌脂肪瘤:這是一種常見的良性腫瘤,富含脂肪組織。在超音波下通常表現為邊界清楚的「高回音(hyperechoic)」結節,主要位於腎臟實質(皮質)區。雖然 AML 是高回
...(解析預覽)...

升級 VIP 解鎖圖文解析