111年:放射診斷(1)
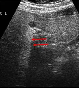
附圖為腹部超音波影像,箭號所指為何? 
A遠方回音增強( distal enhancement )
B音影( acoustic shadows )
C臨界角假影( critical angle artifacts )
D音波迴盪假影( reverberation artifacts )
詳細解析
本題觀念:
本題測驗超音波假影(Ultrasound artifacts)的成因與影像特徵辨識。在超音波成像中,當音波穿過不同介質時,會因為組織的衰減(attenuation)程度不同,而在影像後方產生特定的假影。醫事放射師必須能正確識別這些假影,以協助區分病灶性質(如:液體或固體)。
影像分析:
- 影像為一張灰階(B-mode)腹部超音波影像。
- 影像中上部可見一個邊界清楚的**無回音(anechoic,呈現黑色)**囊狀結構,通常代表內部充滿液體(例如:水泡 cyst 或血管)。
- 影像中紅色箭號所指的區域,位於該無回音結構的正後方(深處)。
- 觀察箭號所指區域,其回音強度明顯高於同一深度的兩側相鄰組織,呈現一道**高回音(hyperechoic,呈現較亮偏白)**的柱狀帶。
選項分析:
- (A) 遠方回音增強(distal enhancement / posterior acoustic enhancement):正確。當超音波穿過衰減係數極低(通常是充滿液體,如囊腫、膽囊或膀胱)的結構時,超音波能量被吸收和散射的程度極少。由於超音波儀器的時間增益補償(Time Gain Compensation, TGC)是假設超音波在所有組織中的衰減率為均勻的,這會導致穿越低衰減結構後的超音波反射訊號被相對「過度放大」,使得該結構後方
...(解析預覽)...

升級 VIP 解鎖圖文解析