113年:放射診斷(1)
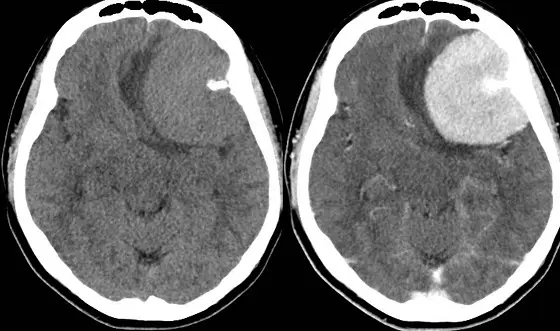
27.頭部 CT 的影像如下圖,下列何者為最有可能之診斷? 
AA.腦出血
BB.腦膜瘤
CC.硬腦膜下血腫
DD.惡性膠質瘤
詳細解析
本題觀念:
本題測驗的是常見顱內病灶的電腦斷層(CT)影像特徵,特別要求考生能夠區分軸內(intra-axial)與軸外(extra-axial)腫瘤的差異,並根據病灶在無對比劑(non-contrast)及施打對比劑後(contrast-enhanced)的影像表現,做出最合理的診斷。
影像分析:
本題提供兩張橫切面(axial)的頭部 CT 影像:
- 左圖(無對比劑 CT,Non-contrast CT):
- 於左側額葉可見一巨大的「軸外(extra-axial)」腫塊。該腫塊將正常的腦皮質向內推擠(白質塌陷徵,white matter buckling),並以廣基底(broad-based)附著於左側顱骨內側的硬腦膜上。
- 腫塊主體的密度與正常腦皮質相近,呈現「等密度至稍高密度(isodense to slightly hyperdense)」。
- 腫瘤外側邊緣可見一極高亮度的緻密病灶,為典型的「鈣化(calcification)」。
- 腫瘤周圍伴隨大片低密度的「血管性水腫(vasogenic edema)」,並造成嚴重的「腫塊效應(mass effect)」,明顯壓迫左側側腦室,導致中線結構向右側偏移(midline shift)。
- 右圖(對比劑強化 CT,Contrast-enhanced CT)
...(解析預覽)...

升級 VIP 解鎖圖文解析