113年:放射診斷(1)
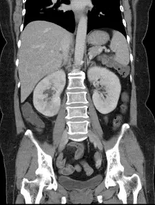
28.電腦斷層檢查如下圖,下列敘述何者最適當? 
AA.multiplanar reformat sagittal image
BB.volume rendering axial image
CC.multiplanar reformat coronal image
DD.volume rendering sagittal image
詳細解析
本題觀念:
本題測驗電腦斷層(CT)影像後處理技術與人體解剖切面的基本辨識能力。醫事放射師在執行 CT 檢查後,常需要利用原始的軸狀面(Axial)體積數據,進行不同的影像後處理,以提供臨床醫師更多視角的診斷資訊。最常見的技術包含多平面重組(MPR)、容積渲染(VR)、最大值投射(MIP)等,且必須熟悉冠狀面(Coronal)、矢狀面(Sagittal)與軸狀面(Axial)的解剖特徵。
影像分析:
- 解剖構造辨識:
- 影像上方兩側可見:患者右側為大面積的肝臟 (Liver),左側為脾臟 (Spleen)。
- 影像中段兩側:可見一對明顯的腎臟 (Kidneys),並清楚顯示皮質與髓質的差異。
- 影像正中央:為一節一節的脊椎骨 (Vertebral column)。
- 影像下方:可見骨盆腔 (Pelvis) 與兩側的髖關節 (Hip joints)。
- 切面判定 (Plane):
- 能夠同時觀察到人體的「左與右」以及「上與下」的相對關係,並呈現出面對患者正面的視角,此為冠狀面 (Coronal plane)。
- 後處理技術判定 (Reconstruction Technique):
- 該影像呈現標準的 2D 灰階斷層畫面,依賴不同組織的
...(解析預覽)...

升級 VIP 解鎖圖文解析