113年:放射診斷(1)
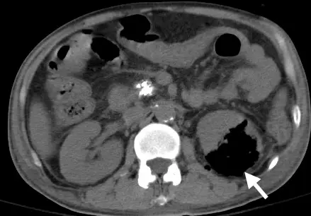
29.電腦斷層檢查如下圖,圖中箭號所示屬於下列何種組織成分? 
AA.water
BB.air
CC.soft tissue
DD.calcification
詳細解析
本題觀念:
本題測驗電腦斷層掃描(Computed Tomography, CT)中不同組織成分的 Hounsfield Unit (HU) 數值表現,以及在影像上的灰階對比。放射師必須能憑藉影像的黑白程度(放射密度,Radiodensity),準確分辨出空氣、脂肪、水、軟組織與鈣化等結構。
影像分析:
這是一張腹部無顯影劑電腦斷層 (Non-contrast abdominal CT) 軸切面 (Axial view) 影像(軟組織窗設定):
- 正常結構對比:右側腎臟 (Right kidney) 呈現正常的軟組織密度(灰色);脊椎 (Spine) 與腹主動脈 (Abdominal aorta) 壁上的斑塊呈現極高密度的亮白色,為骨骼與鈣化 (Calcification)。腹壁外圍則可見暗灰色的皮下脂肪 (Subcutaneous fat)。前方腸道內可見極黑的區域,為腸道氣體 (Bowel gas)。
- 病灶特徵:左側腎臟 (Left kidney) 被一個巨大的極低密度(呈現極度黑色,Jet black)區域所占據,即為圖中白色箭號所指處。正常腎臟實質已遭到破壞。
- 密度比對:將箭號所指的極黑區域與皮下脂肪(暗灰)以及腸道氣體(極黑)進行肉眼比對,可以清楚發現該病灶的黑度與腸道氣體完全一致,代表該組織成分為**空氣/氣體
...(解析預覽)...

升級 VIP 解鎖圖文解析