113年:放射診斷(1)
31.電腦斷層檢查如下圖,下列敘述何者最適當? 
AA.呈現 renal artery
BB.呈現 hepatic artery
CC.呈現 superior mesenteric artery
DD.呈現 inferior mesenteric artery
詳細解析
本題觀念:
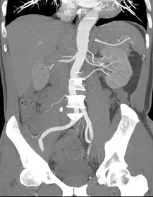
本題測驗對於腹部電腦斷層血管攝影(Computed Tomography Angiography, CTA)影像的解剖構造辨識能力。在腹部 CTA 中,常利用最大強度投影(Maximum Intensity Projection, MIP)技術來凸顯施打對比劑後的高密度血管構造,藉此評估血管的走向、分支、狹窄或解剖變異等。
影像分析:
- 影像切面與技術:這是一張腹部電腦斷層血管攝影(CTA)的冠狀面(Coronal view)最大強度投影(MIP)影像。高密度的部分包含打入對比劑的動脈血管以及骨骼(如腰椎、骨盆)。
- 主要血管構造:畫面正中央垂直向下延伸的粗大血管為腹部主動脈(Abdominal aorta)。
- 兩側分支與器官:在主動脈兩側約 L1-L2 腰椎高度,可明顯看到成對的血管向外側水平延伸,並進入兩側呈蠶豆狀的實質器官。這些蠶豆狀器官為腎臟(Kidneys),而向兩側走行的血管即為腎動脈(Renal arteries)。
- 解剖變異特徵:特別觀察影像右側(即病患的解剖左側),可以發現進入左腎的動脈不只一條,而是有多分支同時進入腎門,這是臨床上常見的**副腎動脈(Accessory renal artery)**解剖變異。評估此類血管變異是臨床安排腎動脈 CTA (如活體
...(解析預覽)...

升級 VIP 解鎖圖文解析