113年:放射診斷(1)
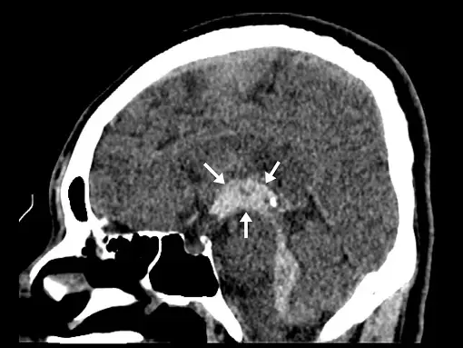
34.患者有腦室內出血(intraventricular hemorrhage, IVH),矢狀面重組的(sagittal reformatted)電腦斷層影像如下圖,箭號所指異常處是什麼構造? 
AA.第三腦室(third ventricle)
BB.第四腦室(fourth ventricle)
CC.第五腦室(fifth ventricle)
DD.側腦室(lateral ventricles)
詳細解析
本題觀念:
本題測驗的是大腦腦室系統(ventricular system)在電腦斷層(CT)矢狀面(sagittal plane)重組影像上的解剖位置,以及對急性腦室內出血(intraventricular hemorrhage, IVH)在影像學上表徵的辨識能力。
影像分析:
- 這是一張無顯影劑的頭部 CT 矢狀面重組影像(non-contrast sagittal reformatted CT)。
- 圖中可見腦室系統內有明顯的高衰減(hyperdense,呈現白色)區域,代表急性出血(acute hemorrhage)。
- 箭號所指的白色高密度區域位於大腦正中切面(mid-sagittal)的中心位置。從解剖邊界來判斷:該構造位於穹窿(fornix)與間腦(diencephalon)之間,其後下端呈現漏斗狀向下延伸,連通至中腦導水管(cerebral aqueduct; aqueduct of Sylvius)。
- 這個完全被急性血液鑄型填滿的空腔即為「第三腦室」。此外,仔細觀察影像,還可見高密度的血液沿著中腦導水管向下流注至第四腦室。
選項分析
- A. 第三腦室(third ventricle):正確。第三腦室位於間腦,左右兩側為視丘與下視丘。在正中矢狀面切面上,第三腦室位在正中央,上方被穹窿覆蓋,後下方與中腦導水管
...(解析預覽)...

升級 VIP 解鎖圖文解析