113年:放射診斷(1)
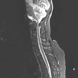
44.下圖為何種 MR 影像? 
AA.coronal T1 weighted MR
BB.axial T2 weighted MR
CC.sagittal T1 weighted MR
DD.sagittal T2 weighted MR
詳細解析
這是一道關於磁振造影(MRI)基礎影像判讀的經典題型,測驗考生對於解剖切面(Anatomical planes)以及 MRI 組織對比權重(Image weighting)的辨識能力。
本題觀念:
要正確判讀 MRI 影像,需要掌握兩個核心:第一是辨別影像的解剖切面(軸狀面 Axial、冠狀面 Coronal、矢狀面 Sagittal);第二是辨識 MRI 的影像對比權重(最基礎為 T1 與 T2),判斷的關鍵在於觀察特定組織(尤其是水分/腦脊髓液與脂肪)的訊號強度(Signal intensity,即影像上的亮或暗)。
影像分析:
- 解剖切面分析:觀察圖片,我們可以看到頸椎(Cervical spine)的椎體(Vertebral bodies)由上而下排列,並能清楚看見後方的腦幹、小腦以及向下延伸的脊髓(Spinal cord)。這種將人體分為左右兩半、呈現側面輪廓的切面,即為矢狀面(Sagittal plane)。
- 影像權重分析:接著觀察組織的訊號特徵。最明顯的指標是包圍在脊髓外圍的腦脊髓液(Cerebrospinal fluid, CSF)。在圖中,脊髓腔內的 CSF 呈現非常明亮的高訊號(Hyperintense,白色)。相對地,脊髓實質本身呈現較暗的灰色(中等訊號)。此外,健康的椎
...(解析預覽)...

升級 VIP 解鎖圖文解析