113年:放射診斷(1)
54.下圖最可能有磁振造影中之何種 artifact? 
AA.truncation artifact
BB.flow artifacts
CC.shading artifact
DD.aliasing artifact
詳細解析
本題觀念:
本題測驗磁振造影(MRI)中常見假影(artifacts)的辨識與成因。在MRI掃描過程中,各類假影的形成機制與影像表現皆有顯著差異,醫事放射師必須具備從影像特徵判別假影種類,並進一步調整參數以消除假影的臨床能力。
影像分析:
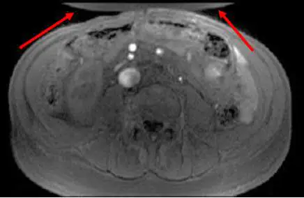
觀察本題提供的腹部橫切面(Axial)MRI影像,可以發現以下關鍵特徵:
- 空間錯置的解剖結構:在影像最上方(即患者腹壁前方,Anterior),紅色箭頭指出了兩塊呈現半月形的異常組織結構覆蓋在腹壁上。
- 摺疊現象(Wrap-around):這些多出來的組織實際上是患者位於掃描視野(Field of View, FOV)之外的解剖構造(如背部皮下脂肪、兩側手臂或側腹部組織)。因為空間編碼發生錯誤,導致 FOV 外的信號被「摺疊」或「捲褶」並疊加到影像對側(前方)。
選項分析
- (A) truncation artifact(截斷假影):又稱為 Gibbs artifact(吉布斯假影)或 ringing artifact。是由於 K-space 空間高頻信號取樣不足所引起。影像特徵為在高對比組織交界處(如腦脊髓液與脊髓交界、顱骨與大腦皮質交界)出現平行的明暗相間水波紋線條。本圖並無此特徵。
- (B) flow artifacts(血流假影):由於血液流動或腦脊髓液的搏動,會在
...(解析預覽)...

升級 VIP 解鎖圖文解析