113年:放射診斷(1)
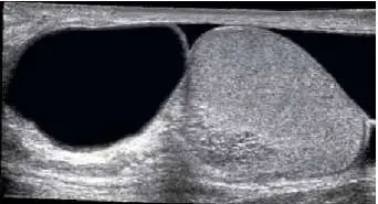
68.附圖為陰囊超音波影像,其最可能的診斷為下列何者? 
AA.testicular tumor
BB.hydrocele
CC.hernia
DD.hematoma
詳細解析
本題觀念:
本題測驗醫事放射師對常見陰囊病灶之超音波影像特徵的辨識能力。其中最核心的觀念是區別陰囊內單純液體堆積(如陰囊水腫)、實質腫塊(如睪丸腫瘤)、複雜性液體(如血腫或膿瘍),以及其他疝氣構造的超音波影像差異。
影像分析:
- 提供的影像為陰囊的二維灰階超音波(2D grayscale ultrasound)。
- 右側構造:可見一呈現橢圓形、內部回音(echogenicity)均勻的中等回音實質構造,此為正常外觀的睪丸(testis)。
- 左側與周邊構造:在睪丸的旁邊與外圍,存在一個巨大、界線清楚且完全「無回音」(anechoic,在影像上呈現全黑)的區域。
- 聲學特徵:此無回音區的後方可觀察到「後方回音增強」(posterior acoustic enhancement),這是典型液體(cystic/fluid)成分的超音波物理特性。
- 液體性質:此無回音區內部清澈,沒有明顯的內部回音(internal echoes)、分隔(septations)或漂浮物,代表這是一大包單純的漿液性液體(simple fluid),蓄積在睪丸鞘膜(tunica vaginalis)的臟層與壁層之間。
選項分析
- (A) testicular tumor (睪丸腫瘤):睪丸腫瘤通常在超音波下會表現為「睪丸內部」的實質
...(解析預覽)...

升級 VIP 解鎖圖文解析