113年:放射診斷(1)
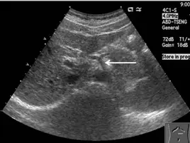
71.附圖為腹部超音波掃描影像,箭號所示的構造應為下列何者? 
AA.脾靜脈(splenic vein)
BB.腹腔動脈幹(celiac trunk)
CC.下腔靜脈(inferior vena cava)
DD.主動脈(aorta)
詳細解析
本題觀念:
本題測驗上腹部超音波(abdominal ultrasound)中的正常血管解剖構造,特別是腹主動脈(abdominal aorta)及其主要分支於橫切面(transverse view)下的影像特徵。重點在於辨識超音波影像中經典的「海鷗標誌」(seagull sign)。
影像分析:
- 影像顯示為上腹部橫切面超音波掃描(transverse abdominal ultrasound)。
- 影像中央偏下方(解剖位置為後方)可見一個大型、圓形且具明顯管壁的無回音區(anechoic area),此為腹主動脈(abdominal aorta)。
- 從腹主動脈的前壁,有一條較粗的血管短幹向前分支出來,並隨即向左右兩側分叉,形成經典的「海鷗標誌」(seagull sign)。
- 在此海鷗標誌中,海鷗的「身體」為腹腔動脈幹(celiac trunk);海鷗的「右翼」(位於影像左側,因超音波探頭方向使影像左右相反)為總肝動脈(common hepatic artery);「左翼」(位於影像右側)為脾動脈(splenic artery)。
- 圖中白色箭號所指的位置,正是由腹主動脈向前發出、尚未分叉前的血管短幹,即為腹腔動脈幹(celiac trunk)。
選項分析
- (A) 脾靜脈(splenic vein):通常位於胰臟後方。在超音波橫切面上
...(解析預覽)...

升級 VIP 解鎖圖文解析