110年:放射器材(2)
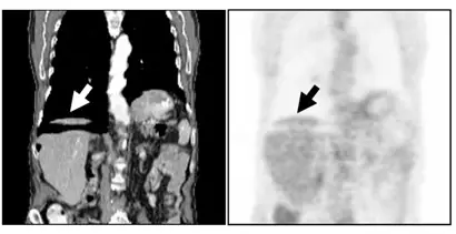
下圖是 PET/CT 影像,箭頭所指的影像假影是什麼原因造成? 
AA.respiration effect
BB.truncation effect
CC.contrast agents
DD.detector breakdown
詳細解析
本題觀念:
本題主要測驗醫事放射師對於 PET/CT 融合影像中常見假影(Artifacts)的辨識與成因理解。在 PET/CT 系統中,由於 CT 掃描速度極快(僅需數秒),而 PET 掃描每個床位(bed position)需要數分鐘。兩者在時間解析度上的巨大落差,使得呼吸運動成為 PET/CT 影像中最常見的假影來源。CT 影像通常擷取到呼吸週期中的某個瞬間(如吸氣或呼氣),而 PET 影像則是整個呼吸週期中器官位置的時間平均值(Time-averaged position)。當兩者的橫膈膜位置不一致時,會導致 CT 衰減校正(CT-based attenuation correction, CTAC)產生空間錯位,進而產生假影。
影像分析:
- 左圖(CT 冠狀面影像):白色箭頭指向右側橫膈膜與肝臟圓頂(Liver dome)處。可以觀察到肝臟頂部與肝臟主體之間,出現了不自然的低密度空隙或雙重輪廓。這在臨床上被稱為「浮動肝臟(Floating liver)」現象,是因 CT 掃描過程中呼吸運動或與 PET 呼吸狀態不匹配所造成的典型特徵。
- 右圖(PET 冠狀面影像):黑色箭頭指向與 CT 影像相對應的肝臟頂部,此處出現了一個新月形(Curvilinear)的放射性活性減低區(Cold artifact/冷假影)。
- 綜合解析:
...(解析預覽)...

升級 VIP 解鎖圖文解析