110年:放射診斷(2)
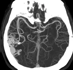
頭部 CTA的影像如下圖,下列何者為最適當之診斷? 
Aaneurysm
Bintracerebral hematoma
Cbrain tumor
Darteriovenous malformation ( AVM )
詳細解析
本題觀念:
本題測驗對於頭部電腦斷層血管攝影 (CTA, Computed Tomography Angiography) 影像中常見腦血管疾病的辨識能力。動靜脈畸形 (Arteriovenous Malformation, AVM) 是一種先天性的血管發育異常,其特徵為動脈與靜脈之間缺乏微血管網的緩衝,血液直接由動脈流入靜脈,形成一團異常糾結的血管叢,稱為血管畸形團 (Nidus)。
影像分析:
本題提供的影像為頭部 CTA 的軸切面 (Axial view) 最大強度投影 (Maximum Intensity Projection, MIP) 重組影像。 在影像中大腦右半球(畫面左側)的皮質至皮質下區域,可以明顯觀察到以下特徵:
- 血管畸形團 (Nidus):存在一團極度糾結、擴張且不規則的異常血管網,呈現典型的「成團蠕蟲狀 (bag of worms)」外觀。
- 供血動脈 (Feeding arteries):可見來自大腦中動脈 (MCA) 系統的分支異常粗大,並直接匯入該血管團中。
- 引流靜脈 (Draining veins):在血管團周邊可見明顯擴張的靜脈結構,將血液提早引流而出。
選項分析:
- (A) aneurysm(動脈瘤):動脈瘤在 CTA 上的典型表現為單一血管局部的囊狀 (saccula
...(解析預覽)...

升級 VIP 解鎖圖文解析